Smile Designing & Veneers



Smile Designing & Veneers

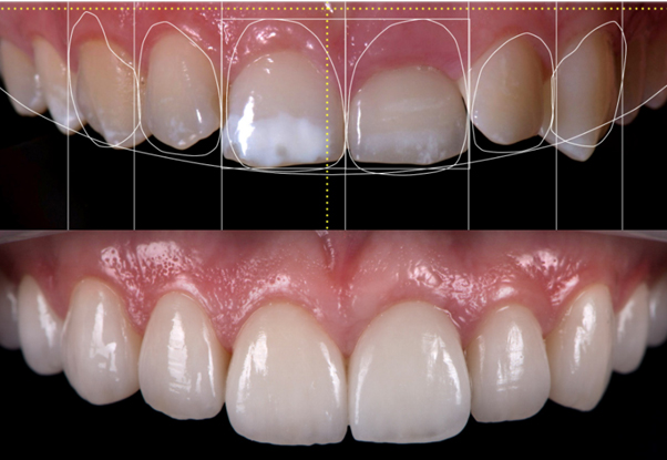
What is Smile Designing?

Smile design is a process in which we use various dental procedures to create a natural and beautiful smile. While this is often done for cosmetic reasons, it can aid in enhancing the functioning of your teeth.

What can a smile design fix?

Smile design can be used to address a variety of dental issues, including:

  • Crooked or misaligned teeth.
  • Broken down or cracked teeth
  • Missing teeth
  • Discoloured teeth or fillings
  • Misshapen teeth
  • Gummy smiles
  • Worn-down teeth

How to get started with a smile design?

Schedule an initial consultation appointment so that your smile makeover can be tailored to your specific goals, desired outcome, budget, and time frame.

A comprehensive dental exam will be required to create a personalised plan and assess your current oral health, which includes dental x-rays, digital photos, and scans of your teeth. Additional consultation appointments may be required.

It will be time to begin once your customised smile designing plan has been discussed with you.

What is involved in a smile makeover?

The following are examples of typical procedures that may be involved:

  • Tooth whitening
  • Composite resin fillings
  • Crowns, bridges, and veneers
  • Dental implants
  • Orthodontic treatments such as braces and Invisalign
  • A gum lift or re-contouring

Manoj Dental Care strives to use cutting-edge techniques and materials to perform these procedures and restore confidence in every smile.

Call Us Now or For More Information Click Here

What are Veneers?

Veneers are thin, custom-made shells used to cover the front of teeth to improve their cosmetic appearance. They are technique-sensitive and custom-designed to create your ideal smile. They are made of porcelain and look and feel very natural. They can be completed in a single visit or over several visits.

These involve correcting severely misaligned teeth, overbites or underbites. Veneers also need healthy teeth to attach. Any decay or gum disease must be treated before the attachment.

Porcelain Veneers:

  • Porcelain veneers are a long-term aesthetic solution that is bonded to the surface of teeth.
  • The strength and durability of porcelain veneers are well known and can be used to improve cosmetic appearance by masking discoloration, chipping, and poorly shaped or crooked teeth. They require little tooth preparation.

How are veneers cemented?

  • Our dentist will minimally prepare the tooth to enable the veneer's thickness to sit flush on the tooth's surface. Local anesthesia is occasionally used during this stage of the procedure.
  • Porcelain veneers are then created in-house or at a dental laboratory. The tooth is conditioned, and the veneer is cemented after everything is checked.